Velkommen til Tannregulering Kristiansand

- Vi får frem ditt beste smil!

Våre behandlinger Bestill time

 Åpningstider

Mandag - Fredag 08:15 - 15:30

Lørdag - Søndag Stengt

Et trygt valg for deg og dine tenner !

Hos oss få du høy kvalitet på behandlingen med bruk av nyeste metoder og digitalt utstyr. Vi tilbyr hvite klosser og helt usynlig regulering, Sparks og Invisalign. Vi er konkurransedyktige på pris og tilbyr nedbetalingsplan - uten renter og gebyrer!

Tradisjonell regulering

Denne behandlingen består av små klosser, også kalt brackets, som festes på forsiden av tennene. Disse festes med lim som bruker 24 timer for å herde, så det første døgnet må pasienten bare spise bløt mat. Til klossene fester vi strengen som flytter på tenner. Bytte, justering av strengen eller annen plassering av kloss kaller man stramming. Det er cirka 10 stramminger i året.

Vi bruker Damon Q og Damon ULTIMA klosser som er en av de beste på markedet.

Det vanlige er metal klosser, men man kan også velge HVITE komposit klosser som er mindre synlig.

Ikon - Tann
Invisalign

Usynlig regulering

Det finnes flere ulike reguleringer som er mindre synlige.

Mest populær de siste årene er gjennomsiktige skinner som brukes hele døgnet, dag og natt. De tas av når man drikker, spiser eller pusser tenner. Man bytter skinner hver 7-14 dag. På den måtten strammer man regulering. Hver skinne flytter tenner mer og mer, til planlagt resultat.

Det finnes flere ulike produsenter av skinner med ulik kvalitet og pris: INVISALIGN, SPARK, CLARITY Aligners mm.

Incognito er det mest kostbare alternativet. En fullstendig usynlige regulering som har klosser laget av ekte gull og plasseres på innsiden av tennene.

Ikon - Tann
Molo lab

Vekstplate

I ung alder (8-10 år) og stor kjevefeil, kan vi starte behandling tidlig med avtagbar plate. Dette er en regulering som først og fremst brukes for å redusere stort overbitt  (hvor tenner i overkjeven biter med stor avstand foran tenner i underkjeven) eller utvide kjeven i vekst periode.

Tidlig behandling med plate kan minske risiko for skade av front tenner, trekking av blivende tenner, assymetrisk vekst i kjevene og slitasje i kjeveledd.

Plate brukes 12-14 timer per døgn.

I de fleste tilfeller vil det være behov for behandling med fastsittende regulering senere.

Besøk Orto Lab sin instagramside

Ikon - Tann
Strikk

Strikk og tilleggs apparatur  

Bittfeil som skyldes avvikk i plassering av kjever i forhold til hverandre, krever bruk av apparatur mellom kjeven oppe og nede. Det mest vanlige er strikk. Strikkene kan festes til klosser eller spesielle kroker på ulike måter. En av de mest vanskelig og dessverre vanlig bittfeil er ett stor overbitt, hvor tenner i overkjeven biter med stor avstand foran tenner i underkjeven.

Er ikke strikk brukt som anbefalt kan vi med regulering stille tenner på rad og rekke i hver kjeve, men klarer ikke å skape riktig bitt.

Med store avvik mellom kjevene eller manglende kooperasjon /effekt med strikk kan FORSUS og MALU system brukes.  Det er fast montert apparatur som jobber for å skyve underkjeven frem  med hjelp av en metall stang mellom jekslene oppe og nede.

TAD ( temporary anchorage device ) er en liten skrue som settes på under lokal bedøvelse i tannkjøttet for å lukke luker etter manglende tenner. Brukes i tilfeller hvor det er tenner med lang avstand som skal flyttes.

Ikon - Tann
Etterkontroll, tenner

Etterkontroller

Når den aktive delen av behandling er over og regulering er fjernet, gjenstår den viktigste delen av behandlingen for å beholde tennene rette. Retensjonsplaten til natt bruk og streng limt bak tennene skal sørge for at tennene ikke forandrer stilling.

Vi kontroller bitt i 2 år etter avslutett reguelring og tilpasser stabilisering apparatur og dens bruk til individuelt behov. 

For å minske risiko for forandringer i stilling på front tenner anbefales det å beholde strengen så lenge som mulig. Platen til nattbruk brukes første år, så trappes den ned. Den tas med til alle kontroller.

OBS HELFO refunderer ikke for kontroller i gruppe C med klart behov.

Ikon - Tann
Tannbleking

Tannbleking

Om du er opptatt av et pent hvitt smil, kan du glede deg over profesjonell tannbleking med spesialtilpassede skinner og blekemiddel for hjemmebruk!

Markedets enkleste og mest populært whitening behandling. Smart og moderne teknologi sørger for en mer effektiv og komfortabel behandling. Ingen ising, skånsom for tennene. En ny patentert gelé som ligger tett på tannflaten virker i 4 timer. Du kan bleke over natta eller på dagen. Anbefalt 7-14 dagers behandling.

Ikon - Tann

Akutt

Problemer med tannreguleringen din?
Kontakt oss for avtale om akutt time på 38 02 31 90.

Om du har noen problemer, som for eksempel løse klosser, irritasjon fra bue, eller andre deler av reguleringen er løs eller ødelagt, kontakt oss for veiledning eller bestill time.

Telefontider:
Mandag – fredag: kl. 08.15  – 15.30

Det er viktig å ta vare på tannreguleringsapparatur for å unngå store kostander med reparasjon.

Vennligst gi oss BESKJED MED EN GANG NOE LØSNER for å unngå forlenget behandling.

Tenner og kjever kan bare flytte seg mot ønsket posisjon dersom du bruker gummi-strikk, avtakbare plater eller andre typer apparatur som er anbefalt.

Om råd eller instruksjoner ikke blir fulgt, vil dette sammen med ødelagt apparatur, føre til forlenget behandlingstid.

Du finner flere video med instrukser på vår FB side.

Ikon - Tann
Ikon - Tann og hjerte

Henvisning

Har du fått henvisning fra din tannlege?

Har du fått henvisning fra tannlegen og ønsker konsultasjon? Fyll ut vårt kontaktskjema under "kontakt/bestill time".

Skoletannlegen/tannpleieren overvåker bittutviklingen hos barn og ungdom og henviser til kjeveortoped (reguleringstannlege) ved behov for nærmere utredning og eventuell behandling. Behandling starter vanligvis ved 11-12 års alder, når de fleste av 'blivende' tenner er på plass. 

Ved store bitt avvik er et ofte behov å starte behandling tidligere. Da er tidlig henvising viktig for å utnytte veksten optimalt i behandlingen. I denne innledende behandling brukes ofte apparatur som vekst plate, ganebøyle eller Delaire maske.

Bittfeil som bør henvises tidlig ved 8-9 år er:

  • Store overbitt​
  • Manglende anlegg (agenesi, hypodonti) av fortenner og jeksler
  • Underbitt
  • Kryssbitt
  • Frembruddsforstyrrelser av hjørnetenner
  • Stor plassmangel for fortennene

Last opp din henvisning

Ingen fil valgt
Ikon - Tann og hjerte

Konsultasjon

Informasjon til foresatte ved første time

Ved første besøk hos oss vil det først bli tatt et røntgenbilde av alle tenner for å kunne se tannstilling og røttene. Deretter blir det samtale med kjeveortopeden som ser på bildet og sjekker hvordan tenner og kjeven forholder seg til hverandre og behovet for behandling blir vurdert. I likhet med mange medisinske problemer må det foretas an avveining mellom fordeler og ulemper ved behandling. En kjeveortopedisk assistent vil så gå gjennom de aktuelle behandlingsmetodene som er aktuelle for pasienten. Vi ønsker at en foresatt er med på denne timen da det er mye informasjon som skal gis og tas stilling til.

VIKTIG! HA MED HENVISNING FRA DEN OFFENTLIGE TANNLEGEN!

Trygdekontor dekker et fast beløp av kostnader til første gangs konsultasjon. Din egenandel vil være 945kr. Vi ordner alle formaliteter med folketrygden, dere forholder dere bare til oss. HUSK: vi må ha fullt personnummer til pasienten for å sende krav til trygdekassen. Dersom det er for tidlig i tannutvikling til å begynne med regulering vil vi avtale et nytt innkallingstidspunkt for kontroll.

Dersom det er en bittfeil som det er aktuelt å behandle nå, vil vi avtale ny time hvor vi tar utvidede røntgenbilder, vanlig foto og scanning som erstatter gameldags avstøpning.  Bor dere langt unna, kan vi avtale å ta disse bildene på første konsultasjon. Kjeveortopeden vil i etterkant av konsultasjon utarbeide en behandlingsplan og gi et kostnadsoverslag som sendes pr post eller mail. Når denne er mottatt og godkjent, kan behandlingen starte. Egenandelen betales etter nedbetalings-plan ( uten noe renter) som leveres dagen regulering er satt på/platen utlevert. Alle prisene er avrundet og det kommer en avregning etter avsluttet behandling. Vi tilbyr fastpris og 10-20-måneders rentefri delbetaling med faktura.

Hvor mye trygdekassen dekker for forberedende arbeid og videre behandling avhenger av behandlingsbehovet. Gi beskjed dersom pasienten har søsken som har eller har hatt regulering. Det vil gi søskenmoderasjon. Det har ingen betydning hvor søsken har fått behandlingen tidligere.

Du er alltid velkommen for å ringe eller skrive e-mail hvis du vil diskutere behandlingsbehov og andre alternativer.

LYST TIL Å SE HVORDAN REGULERING KAN ENDRE DINE TENNER?

Skann QR-koden, følg instruksjoner og få tilsendt før- og etterbilde.

Helt gratis og uten forpliktelser. 

QR-kode

Hvor mye koster tannregulering?

Første time/konsultasjon barn under 20 år, kr 945.- ( konsultasjon og bilde).
Pris for undersøkelse hos spesialist uten bilde med vurdering om behandlingsalternativer for voksne kr 1080 (kr 1720 inkludert bilde)

Prisen for tannregulering avhenger av bittfeil og hvor omfattende tannreguleringen blir. Prisene for egenandel på barn ligger mellom kr 21000 til 26000 for en kjeve ( begge kr 48000-54000). 

Vi tilbyr regulering på innsiden av tannbuen www.incognito.net (pris for regulering+ca. kr 20000 per kjeve), skinner Invisalign og Spark 25-58000 ( bilder før ikke inkludert), Forestadent 2D - klosser på innsiden av tenner til små justeringer i fronten (fra kr 18000 per kjeve) 

Honoraroverslag gis etter forundersøkelse med bilder ( fra kr 3000 inkl refusjon, full pris kr 4100, betales separat ) sammen med diagnose og behandlingsplan. Honorar for regulering inkluderer påsetning av apparatur, 10 stramminger per kjeve, fjerning og retensjon apparatur.

Hvor mye støtte får du?

For tannregulering av barn og ungdom dekker Folketrygden deler av behandlingen etter følgende behovsindeks:

Vi har direkte oppgjør med folketrygden (Helfo) og pasient/foresatte betaler bare egenandelen direkte til oss. Siden mellomlegg for spesialister og operasjoner ikke dekkes av HELFO,  vil ikke refusjons % samsvare med prosent egenandel. Vi tilbyr fastpris og 10-20 måneders rentefri delbetaling med faktura.

Kjeveortopedisk behandlingPris
Innledende behandling (Fase1 behandling- vekst plate, ganebøyle mm)kr 12 000 - 15 000
Kjeveortopedisk behandling med fast apparatur i en kjeve 
Vanlig behandling én kjevekr 26 000
Kjeveortopedisk behandling med fast apparatur i to kjevekr 49 000
Kjeveortopedisk behandling med avtagbar skinner(Aligners) i en kjevekr 25 000-38 000
Kjeveortopedisk behandling med avtagbar skinner(Aligners) i to kjeverkr 48 000-62 000

 

Eksempel pris på vanlig behandling i en kjeve

DekningsgradKostnad pr mnd -metal regulering (20 mnd.)Kostnad pr mnd Aligners (20 mnd.)
90%760 / mnd595-1065 / mnd
75%850 / mnd875-1335 / mnd
60%940 / mnd950-1450 / mnd
40% 1060 / mnd1050-1600 / mnd
Ingen refusjon1300 / mnd1250-1900 / mnd

Søskenmoderasjon

Dersom det er flere barn i familien som har behov for tannregulering, vil det fra barn nummer to gis en høyere refusjon.

Voksne

I noen tilfeller kan voksne også få støtte til tannregulering:

  • Bittfeilen er så alvorlig at det kreves både tannregulering og kjevekirurgi
  • Manglende tannanlegg som er medfødt, og lukene i tannrekken skal lukkes med tannregulering (min 3 tenner)
  • Uvanlig stor tannslitasje der en bittfeil må reguleres før de nedslitte tennene kan bygges opp igjen
  • Pasienter med spesielle sykdommer som gir rett til gratis tannbehandling
  • Pasienter med tann traumer som skal behandles i kombinasjon med tannerstatning
  • Pasienter med marginal periodontitt (tannkjøttsykdom). OBS henvisning fra tannlege som behandlet pasienten må foreligge.

Spesialist i kjeveortopedi, Kate M. Tranesen

Kate ble ferdig utdannet som tannlege i 2001 ved Pomeranian Medical Akademi Szczecin, Polen. Siden det har hun jobbet som allmenn tannlege både offentlig og privat. I 2006 forvarte hun sin doktorgrad i odontologi og i 2009 tok hun spesialist utdanning i kjeveortopedi ved Det Odontologiske Fakultet, Universitet i Oslo. Hun har fra 2012 jobbet som kjeveortoped for Tannregulering Kristiansand AS.

Vi er dag 5 ansatte, en kjeveortoped, en tannlege, 3 assistenter og en resepsjonist.

Vi snakker godt norsk, engelsk, polsk og ukrainsk.

Vi er medlem av Norsk Kjeveortopedisk Forening, og har refusjon fra Helfo.

Våre ansatte

Dame i rosa frakk

Kate

Spesialist i kjeveortopedi

Blond dame med rosa overdel

Ingelill

Kjeveortopedisk assistent

Blond dame med rosa overdel

Lene

Kjeveortopedisk assistent

Blond dame med rosa overdel

Sissel

Kjeveortopedisk assistent

Mørkhåret dame med rosa overdel

Olena

Kjeveortopedisk assistent

Tannlege fra Ukraina

Dame med brunt hår og rosa overdel

Janne 

Resepsjonist / Fakturaansvarlig

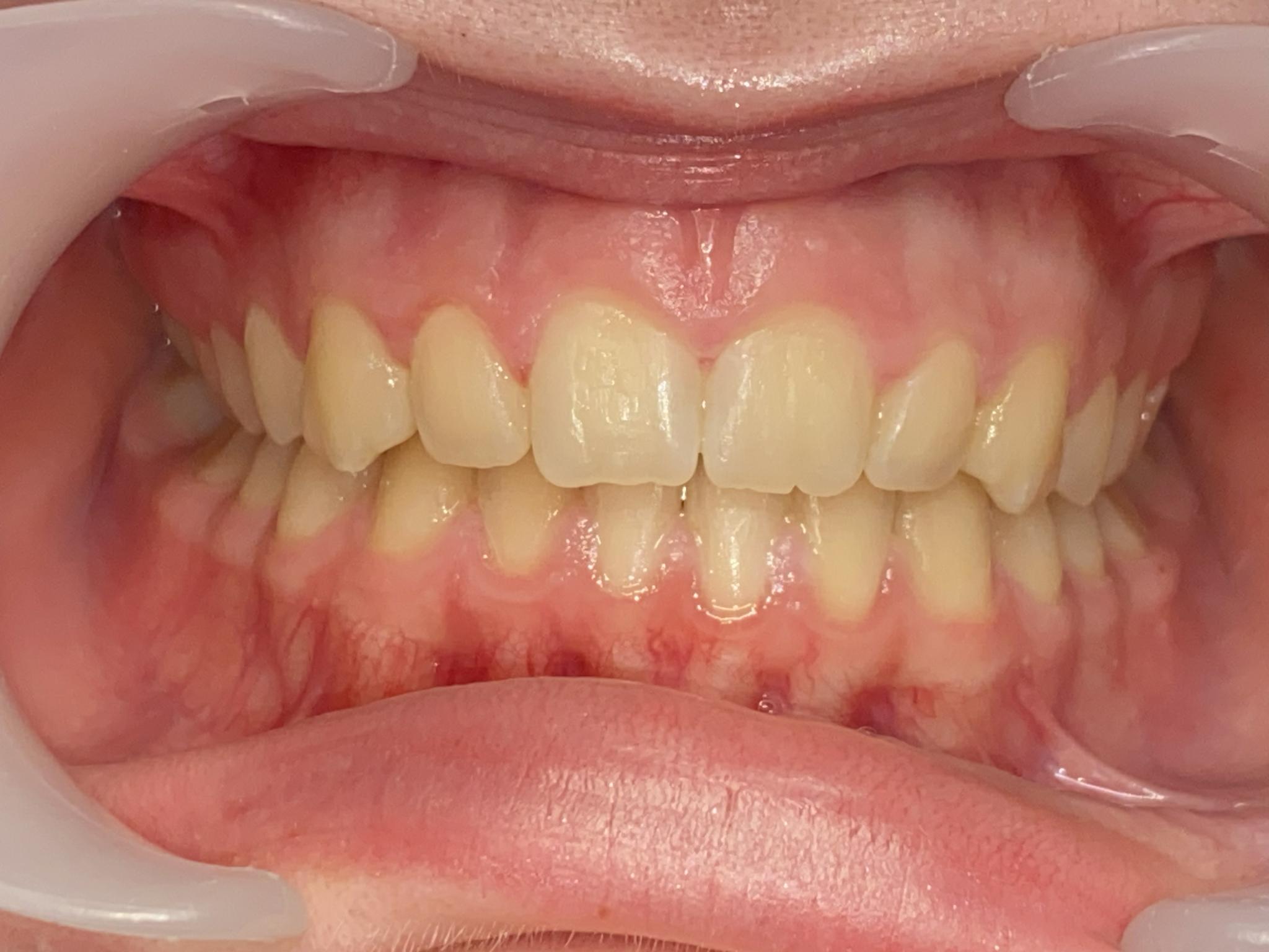
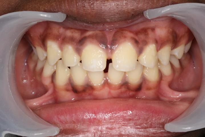
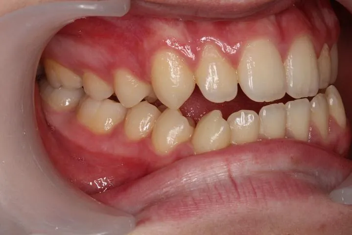
Før og etter våre behandlinger

Kontakt oss

Bestill en time hos oss i dag!

Tannregulering Kristiansand AS

Henrik Wergelands gate 17A
4612 Kristiansand

Ingen fil valgt
hCaptcha